O que há de mais Moderno na Odontologia
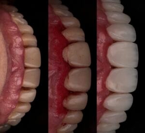
Você certamente já ouviu falar sobre as Lentes de Contato dental. Tratam-se de um método odontológico conhecido que é febre entre os famosos. Juntamente com o Clareamento Dental, esse tipo de faceta de porcelana minimamente invasiva é a solução ideal pra quem procura o que existe de mais moderno e estético dentro da odontologia moderna.
Lentes de contato dental em porto alegre é com Expert Prof. Dr. Rafael Pocztaruk.
Lentes de Contato
Quero minhas Lentes Ultra Finas
Resultados
Lentes de Contato Ultra Finas










