Dentes Fixos Sobre Implantes
A Prótese Dentária sobre Implantes é ideal pelo conforto e pela estética para pacientes perderam um ou mais dentes na boca, seja por qualquer causa. Ao ser fixada sobre os implantes do paciente, previamente colocados cirurgicamente, a prótese reabilita-o para mastigar, falar e voltar a sorrir.
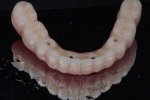
Tipos de Prótese sobre Implante
Eu quero fazer os Implantes dentários com Dr. Rafael Pocztaruk
Overdenture x Protocolo
Quais as Diferenças entre Total Removível e Fixa sobre Implantes
- Estabilidade e Conforto: Proporciona maior estabilidade, uma vez que é fixada aos implantes, evitando any movimentação.
- Estética: Geralmente oferece uma melhor estética, já que é fabricada para parecer mais natural e está fixada de forma mais permanente.
- Funcionalidade: Melhor desempenho na mastigação e na fala, devido à fixação estável.
- Preservação do Osso: A estimulação óssea proporcionada pelos implantes pode ajudar a preservar a estrutura óssea.

- Menor Custo: Tendem a ser mais econômicas comparadas às próteses protocolo.
- Facilidade de Remoção: Pode ser removida para limpeza, o que pode facilitar a higiene oral.
- Suporte de Lábio: Com a prótese acrílica conseguimos dar mais suporte ao lábio tornando mais estética.

- Custo: Geralmente mais cara devido à necessidade de implantes e maior complexidade de instalação.
- Irreversibilidade: A colocação de implantes é um procedimento mais invasivo e irreversível.
- Manutenção: Requer cuidados e manutenção regulares, e possíveis ajustes podem ser necessários.

- Menos Estabilidade: Pode não ser tão estável quanto uma prótese protocolo, o que pode levar a desconforto em atividades como mastigação.
- Maiores Cuidados de Higiene: Exige cuidados especiais na limpeza, pois o acúmulo de resíduos pode ser mais fácil.
- Ser Removível



