Coroas Totais sobre Dentes
Estética Natural:
- A porcelana tem uma translucidez similar à dos dentes naturais, o que a torna uma excelente opção para quem busca uma restauração discreta e natural.
Durabilidade e Resistência:
- Embora não seja tão resistente quanto os dentes naturais, a porcelana é um material bastante durável, resistente ao desgaste e à corrosão. Com cuidados adequados, as próteses de porcelana podem durar muitos anos.
Função Mastigatória:
- Além de proporcionarem um ótimo resultado estético, as próteses fixas de porcelana restauram a função mastigatória, permitindo que a pessoa mastigue com conforto e eficiência.
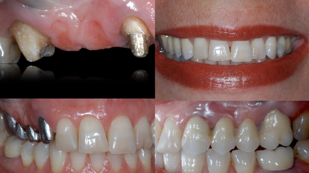
Tipos de Prótese
Coroas Fixas de Porcelana
A ponte dentária fixa é uma restauração protética destinada a substituir um ou mais dentes, apoiando-se em dentes vizinhos ao espaço desdentado. Os elementos que ficam suspensos são denominados pônticos. Todos estes elementos de restauração e substituição dos dentes devem ser feitos em laboratórios de prótese dentária.

As coroas e pontes hoje em dia são de cerâmica apenas e sem metal ou seja METAL FREE, para promover maior estética das próteses. São feitas com uma estrutura interna em zircônia ou Dissilicato de Lítio que lhes dá robustez e recobertas de cerâmica com a tonalidade dos dentes do paciente, além de melhorar a estética.




