logo-drrafael
  • Home
  • Quem somos
  • Especialidades
  • Pacientes
  • Blog
  • Downloads
  • Contato
wapp.png Whatsapp
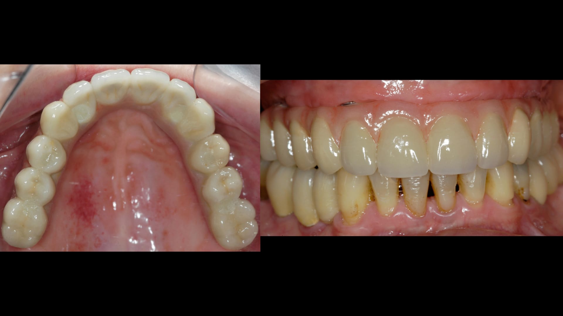
Home > Pacientes > Prótese Protocolo Fixa de Porcelana sobre Implante
Sem Título.002
Sem Título.003
Sem Título.004
Sem Título.006
Sem Título.010
Sem Título.011
Sem Título.013
Sem Título.014
Sem Título.015
Sem Título.018
Sem Título.019
Links utéis
  • Home
  • Quem somos
  • Especialidades
  • Pacientes
Serviços
  • Estética
  • Reabilitação
  • Prevenção
Entre em contato
R. Miguel Tostes, 533/202 - Rio Branco, Porto Alegre - RS, 90430-061
Redes sociais
  • facebook
  • instagram
  • linkedin
  • youtube
Icone Seta upVOLTAR AO TOPO
© Copyright - Todos os direitos reservados
whatsapp